
TRATTAMENTI DI ECCELLENTE QUALITA'
Puoi vedere l'efficacia dei trattamenti prima e dopo
Lo studio dentistico Priotto a Pinerolo offre prestazioni odontoiatriche altamente specializzate ed è in grado di realizzare accurati esami radiografici in sede.
Contatti
Uno staff medici odontoiatri e chirurghi esperti e qualificati è a disposizione per curare la bocca e il sorriso di pazienti di ogni età.
Lo studio dentistico Priotto è aperto tutti i giorni dal lunedì al venerdì e offre una prima visita gratuita.
Per visionare l’efficacia delle prestazioni odontoiatriche visionate la galleria fotografica!

Faccette ceramiche

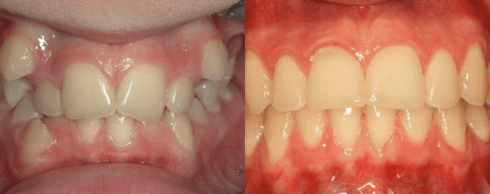
Trattamento ortodontico

Sbiancamento dentale
Puoi scaricare la brochure informativa sul sistema F22 di allineatori trasparenti
utilizzati dagli specialisti dello studio








